昆州抗生素短缺,肺炎病例激增,近两万名儿童感染!

查看数: 672 | 评论数: 0 | 收藏 0
关灯 | 提示:支持键盘翻页<-左 右->
    组图打开中,请稍候......
发布时间: 11-7-2024 09:09

正文摘要:

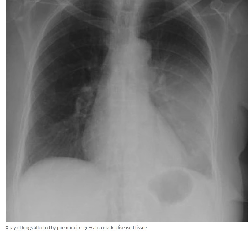
据悉,由于抗生素短缺,昆州近两万名儿童患上了发病率急剧上升的肺炎。 卫生专家透露,用于治疗这种严重疾病的抗生素出现了长达三个月的短缺。 &quot;之所以称之为行走性肺炎,是因为这种疾病通常不会导 ...

回复

高级模式
B Color Image Link Quote Code Smilies |上传

本版积分规则

Copyright © 2020-2021 tigtag.com
快速回复 返回列表 返回顶部